Metamorfozy
Odmieniamy uśmiech
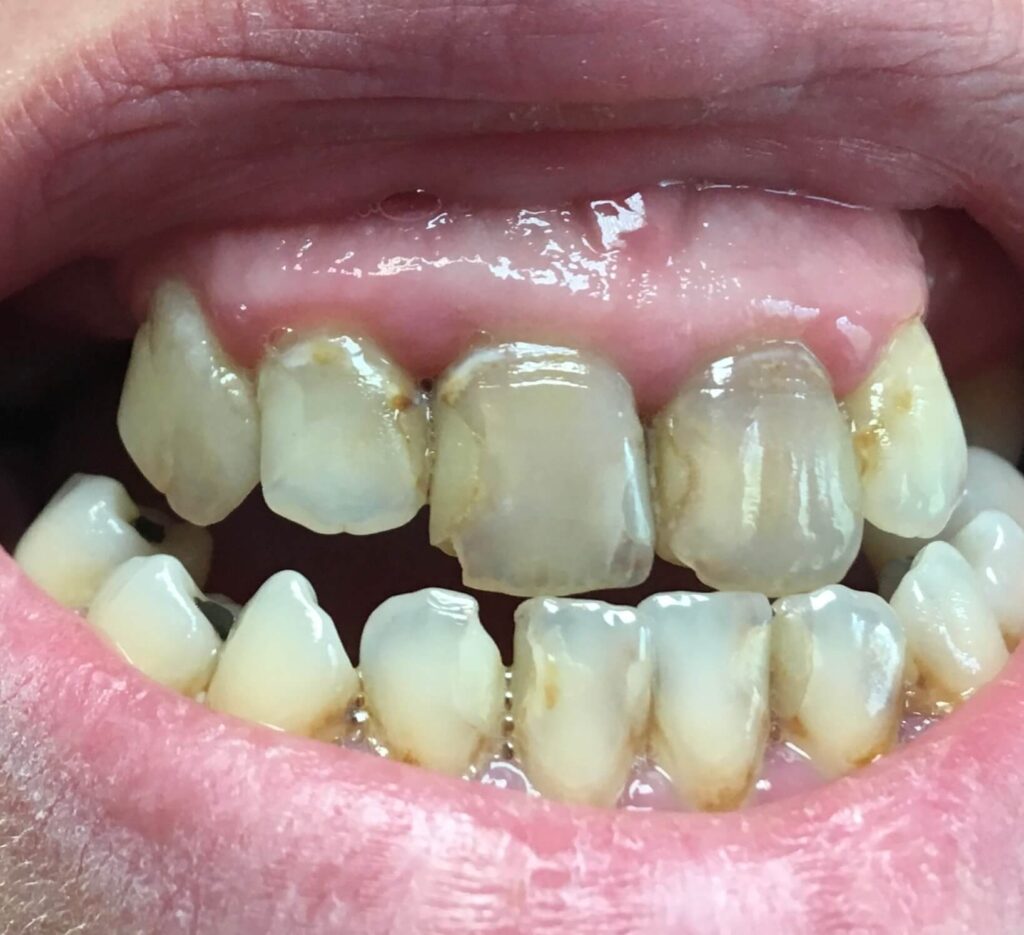
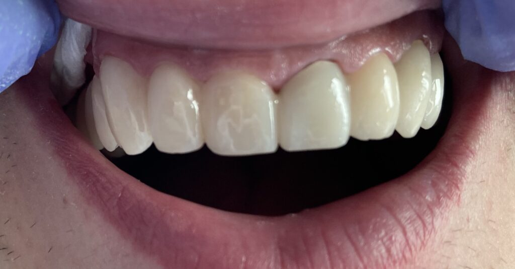
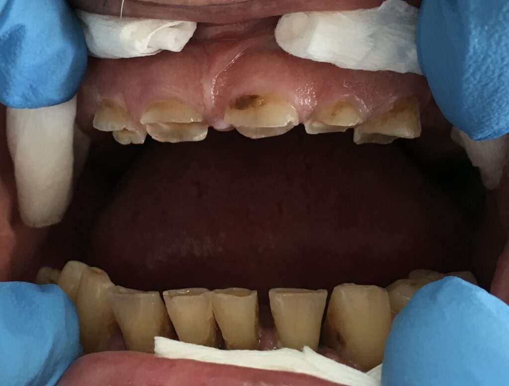
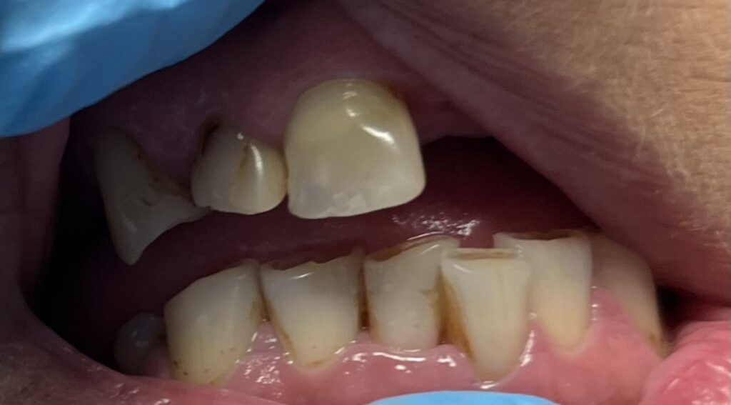
Każdy uśmiech ma swoją historię – my pomagamy ją opowiedzieć na nowo. Dzięki indywidualnie dobranym planom leczenia przywracamy pacjentom nie tylko piękny wygląd zębów, ale również komfort i funkcjonalność w codziennym życiu. Poniżej przedstawiamy wybrane przypadki metamorfoz, które pokazują, jak zaawansowana protetyka, nowoczesne techniki odbudowy oraz precyzyjne leczenie endodontyczne potrafią całkowicie odmienić uśmiech.











